Flavoplaca oasis (A. Massal.) Arup, Frödén & Søchting

Kleine citroenkorst 

Beoordeling:
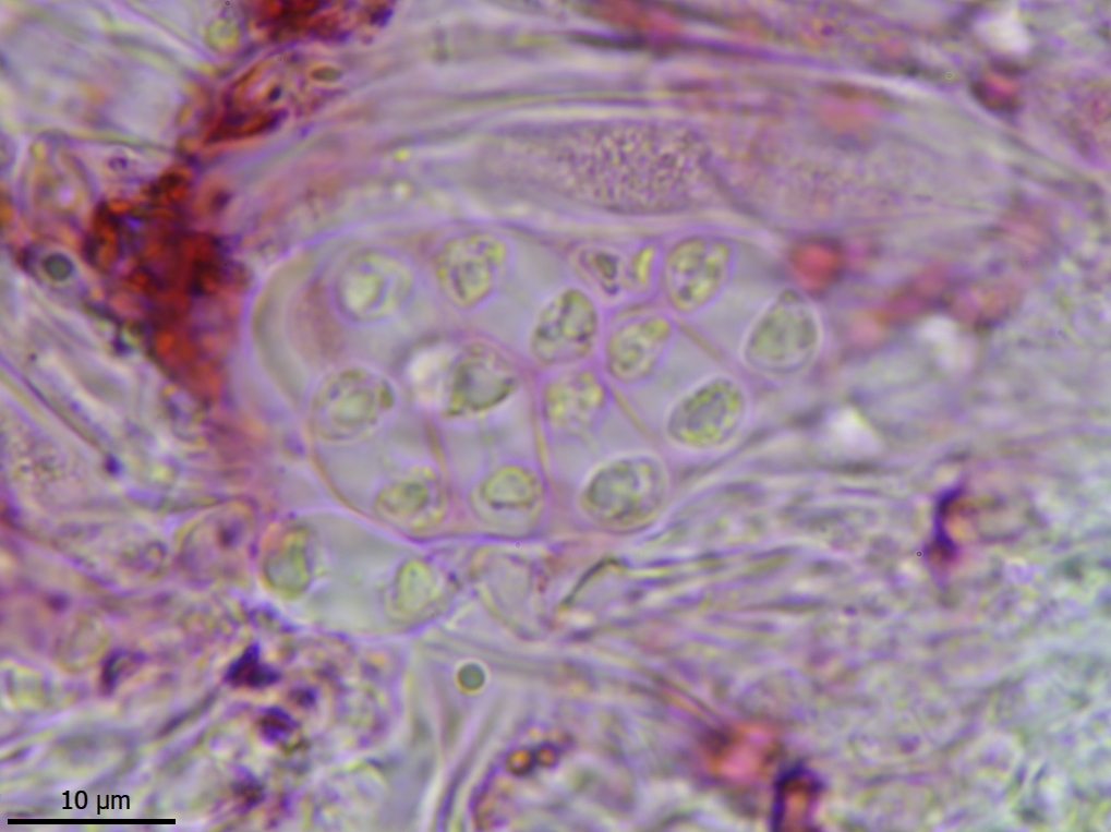
© Lukas Verboom - Locatie: Bruinisse, zeedijk, op schelpjes - Sporen in KOH
 
Flavoplaca oasis (door Lukas Verboom)