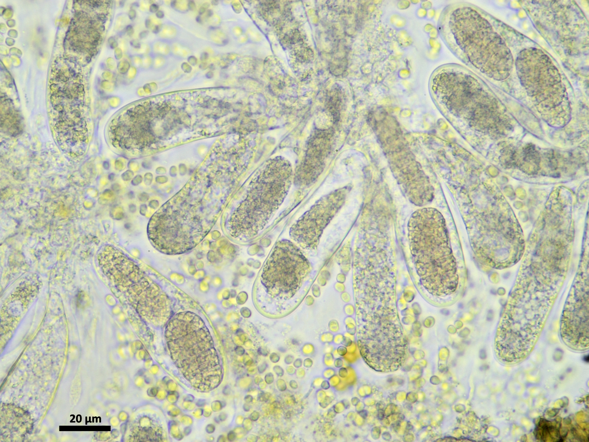
Endocarpon adscendens (Anzi) Müll. Arg.

Waterkrijtkorst 

Beoordeling:
© Henk-Jan van der Kolk - Locatie: Swifterbant, IJsselmeerdijk - Asci met ascosporen. Op basalt in spatwaterzone van IJsselmeerdijk
 
Endocarpon adscendens (door Henk-Jan van der Kolk)