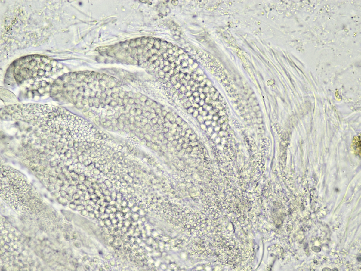
Thelocarpon periphysatum Kolk, Timans, Boers & Sparrius

Geringde stuifmeelkorst 

Beoordeling:
© Henk-Jan van der Kolk - Locatie: Groeve 't Rooth - Doorsnede perithecium met asci en perifysen. Op mergel
 
Thelocarpon periphysatum (door Henk-Jan van der Kolk)