Vezdaea leprosa (P. James) Vezda

Metaalzomerkorst 

Beoordeling:
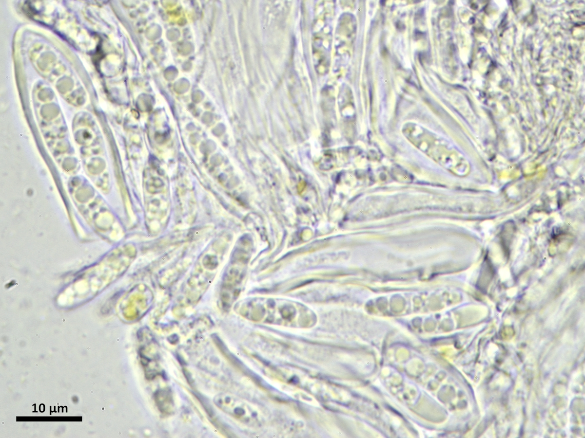
© Henk-Jan van der Kolk - Locatie: Simpelveld - Ascosporen. Langs spoorrails
 
Vezdaea leprosa (door Henk-Jan van der Kolk)