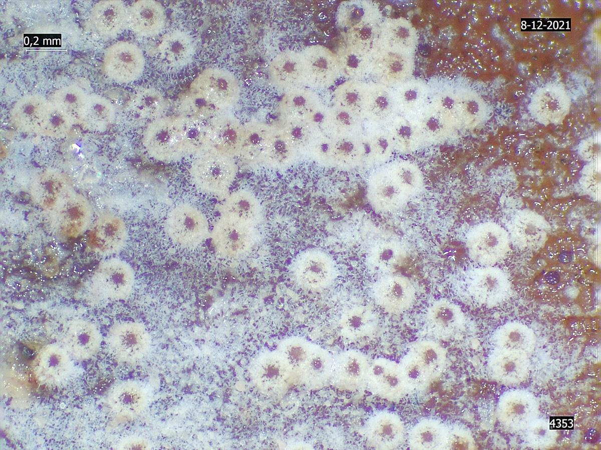
Nectriopsis oropensoides (Rehm) Samuels

Zwametende korrelwebzwam 

Beoordeling:
© Eduard Osieck - Locatie: Arboretum, Doorn - Perithecia op kaal dennenhout
 
Nectriopsis oropensoides (door Eduard Osieck)