Thelocarpon opertum J.C. David & Coppins

 

Beoordeling:
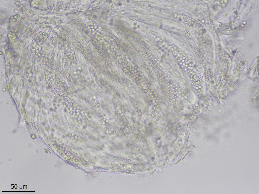
© Lukas Verboom - Locatie: Egmond aan Zee - Hymenium met asci, zonder parafysen
 
Thelocarpon opertum (door Lukas Verboom)