Home
Terug
Algemeen
Kaart
Foto's
Trend
Moszomerkorst
Vezdaea retigera
© Arjan de Groot
Familie:
Vezdaeaceae
Groep:
Korstmossen
Status:
Rode Lijst: Gevoelig
Zeldzaamheid:
zeer zeldzame soort
Biotoopvoorkeur:
heide en stuifzand
Substraatvoorkeur:
op steen, op de grond
© 2026 BLWG
Op zandige bodem tussen topkapselmossen, Weesp, Begraafplaats Landscroon, © Arjan de Groot
Op zandige bodem tussen topkapselmossen, Weesp, Begraafplaats Landscroon, © Arjan de Groot
Op Marchantia polymorpha samen met Agonimia tristicula, Doetinchem, begraafplaats, © Bart Horvers
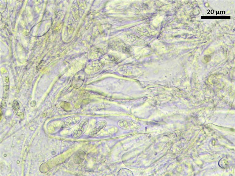
Asci met ascosporen. Op algen en mossen verticaal op betonmuur van bunker, Dordrecht, De Elzen, © Henk-Jan van der Kolk
Op zandige bodem tussen topkapselmossen, Weesp, begraafplaats Landscroon, © Hans Toetenel
© 2026 BLWG
© 2026 BLWG
Ga naar de volledige website