Home
Terug
Algemeen
Kaart
Foto's
Trend
Enchylium
© Arjan de Groot
Familie:
Collemataceae
Groep:
Korstmossen
Zeldzaamheid:
algemene soort
© 2026 BLWG
Habitus (vochtig), Op schelpenpaadje op dijk. Schellingwoude., © Arjan de Groot
Vergelijking met Enchylium tenax, Zeeland, © Henk-Jan van der Kolk
Op open stukje tussen kruiden en mos op zandgrond, Utrecht, © Niek Schrier
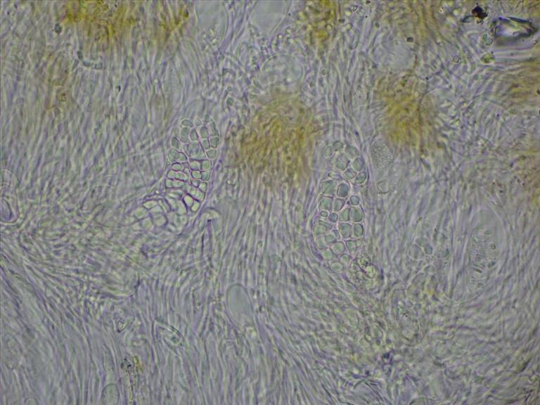
Muurvormige ascosporen in KOH, 's Heerenberg, Hof van Bergh, © Lukas Verboom
Apothecien met isidieuze rand, Verdronken Land van Saeftinghe, © André Aptroot
© 2026 BLWG
© 2026 BLWG
Ga naar de volledige website